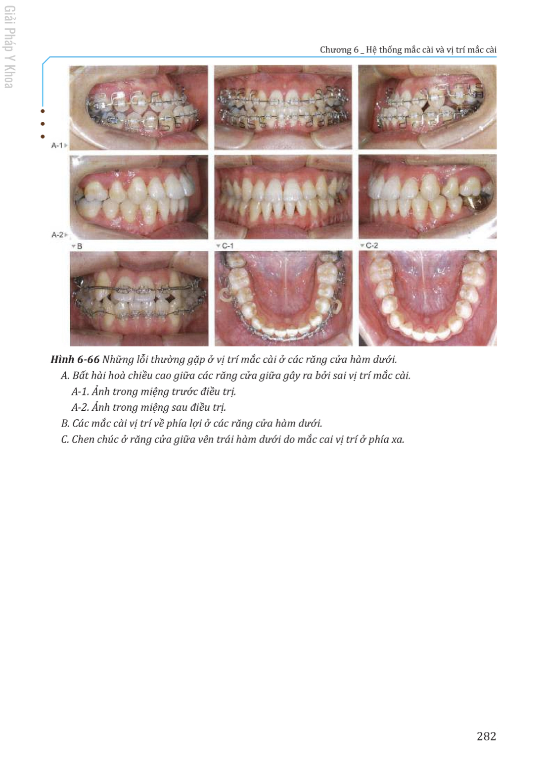
Điều trị chỉnh nha với MEAW