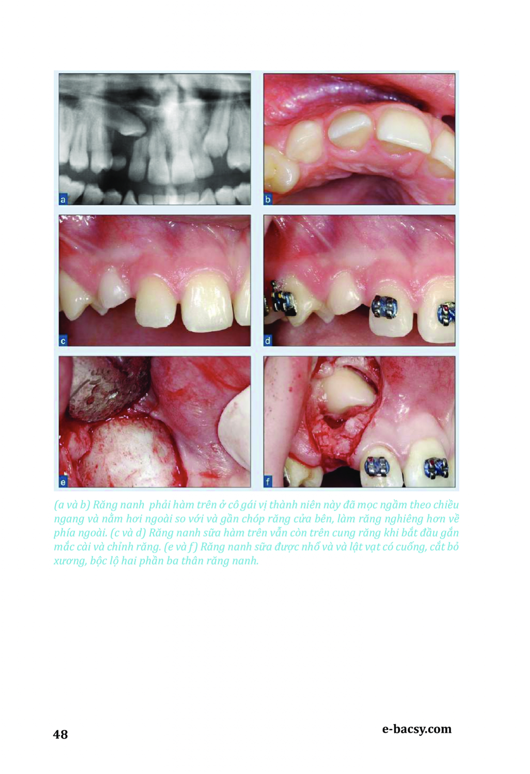
Răng mọc ngầm - Phẫu thuật cùng chỉnh nha